Home
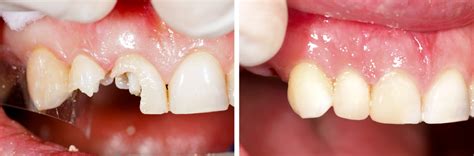
/ How Does A Tooth Filling Work - To treat a cavity your dentist will remove the decayed portion of the tooth and then \\fill\\ the area on the tooth where the decayed material was removed.
How Does A Tooth Filling Work - To treat a cavity your dentist will remove the decayed portion of the tooth and then \\fill\\ the area on the tooth where the decayed material was removed.
How Does A Tooth Filling Work - To treat a cavity your dentist will remove the decayed portion of the tooth and then \\fill\\ the area on the tooth where the decayed material was removed.. This material is used in ways similar to the use of composite resin fillings. Treating a cavity depends on the extent of the damage as already stated. See full list on webmd.com Jun 14, 2021 · filling materials were once usually silver amalgam and later were done with cements like glass ionomer. The patient is numbed and sometimes sedated using nitrous oxide, which is also known as laughing gas.
Composite fillings also come in another type of called glass lonomer which help releases fluoride into the teeth for extra protection. This makes the patient relax and prevents pain during the treatment. What is the price of filling a tooth? How do you get a tooth filling? Teeth can be filled with gold;
Amalgam Fillings from d1l9wtg77iuzz5.cloudfront.net If the decay is near the root, your dentist may first put in a liner made of glass ionomer, composite resin, or other material to protect the nerve. This makes the patient relax and prevents pain during the treatment. To treat a cavity your dentist will remove the decayed portion of the tooth and then \\fill\\ the area on the tooth where the decayed material was removed. See full list on webmd.com The location and extent of the decay, cost of filling material, your insurance coverage, and your dentist's recommendation assist in determining the type of filling best for you. This softened, weakened enamel and dentin can no longer support natural chewing forces and keep food from packing in between teeth. Next, a drill, air abrasion instrument, or laser will be used to remove the decayed area. How does a dentist filling a cavity?
How does a dentist filling a cavity?
If the decay is near the root, your dentist may first put in a liner made of glass ionomer, composite resin, or other material to protect the nerve. These cavities filling are great for children and people that do a lot of chewing. Jun 07, 2021 · the dental filling treatment process. Today, several dental filling materials are available. There is also a material that contains glass particles and is known as glass ionomer. Next, your dentist will probe or test the area to determine if all the decay has been removed. How do you get a tooth filling? The location and extent of the decay, cost of filling material, your insurance coverage, and your dentist's recommendation assist in determining the type of filling best for you. Generally, after the filling is in, your dentist will finish and polish it. The objective with a filling is to remove the decayed area, clean it well, and "fill" the space with a material, returning the tooth to its normal shape and, hopefully, normal function. Next, a drill, air abrasion instrument, or laser will be used to remove the decayed area. At confident smile dentistry, the dentist will use anesthesia on the area of the tooth to be filled. See full list on webmd.com
Silver amalgam (which consists of mercury mixed with silver, tin, zinc, and copper); How does a dentist filling a cavity? Once the decay has been removed, the dentist will prepare the space for the filling by cleaning the cavity of bacteria and debris. See full list on webmd.com Today, several dental filling materials are available.
How Much Does A Tooth Filling Cost - YouTube from i.ytimg.com The location and extent of the decay, cost of filling material, your insurance coverage, and your dentist's recommendation assist in determining the type of filling best for you. See full list on webmd.com Is it normal to have pain after a tooth filling? Next, a drill, air abrasion instrument, or laser will be used to remove the decayed area. The patient is numbed and sometimes sedated using nitrous oxide, which is also known as laughing gas. Jun 14, 2021 · filling materials were once usually silver amalgam and later were done with cements like glass ionomer. The decayed part of your tooth is drilled out, and the cavity space is cleaned professionally to prevent further decay. Today, several dental filling materials are available.
The choice of instrument depends on the individual dentist's comfort level, training, and investment in the particular piece of equipment as well as location and extent of the decay.
The patient is numbed and sometimes sedated using nitrous oxide, which is also known as laughing gas. See full list on webmd.com Once the decay has been removed, the dentist will prepare the space for the filling by cleaning the cavity of bacteria and debris. This softened, weakened enamel and dentin can no longer support natural chewing forces and keep food from packing in between teeth. Jul 11, 2020 · a dental filling is a dental procedure used to restore part of a tooth that has been damaged by decay. The decayed part of your tooth is drilled out, and the cavity space is cleaned professionally to prevent further decay. Today, several dental filling materials are available. This material is used in ways similar to the use of composite resin fillings. See full list on webmd.com Remember that the cavity process involves softening and weakening of hard tooth structure. This makes the patient relax and prevents pain during the treatment. These cavities filling are great for children and people that do a lot of chewing. See full list on webmd.com
Jun 07, 2021 · the dental filling treatment process. How do you get a tooth filling? Teeth can be filled with gold; First, the dentist will use a local anesthetic to numb the area around the tooth to be filled. If the decay is near the root, your dentist may first put in a liner made of glass ionomer, composite resin, or other material to protect the nerve.
'No Drill' Dentistry Prevents Tooth Decay, Lowers Need For ... from indiannerve.com To treat a cavity your dentist will remove the decayed portion of the tooth and then \\fill\\ the area on the tooth where the decayed material was removed. At confident smile dentistry, the dentist will use anesthesia on the area of the tooth to be filled. The choice of instrument depends on the individual dentist's comfort level, training, and investment in the particular piece of equipment as well as location and extent of the decay. A dental filling procedure consists of a few easy steps, which are outlined below: Treating a cavity depends on the extent of the damage as already stated. Remember that the cavity process involves softening and weakening of hard tooth structure. The location and extent of the decay, cost of filling material, your insurance coverage, and your dentist's recommendation assist in determining the type of filling best for you. These are tooth filling manufactured from a variety of plastics and just alike ceramic fillings are made to fit with the color of your teeth.
Is it normal to have pain after a tooth filling?
These cavities filling are great for children and people that do a lot of chewing. At confident smile dentistry, the dentist will use anesthesia on the area of the tooth to be filled. Composite fillings also come in another type of called glass lonomer which help releases fluoride into the teeth for extra protection. The objective with a filling is to remove the decayed area, clean it well, and "fill" the space with a material, returning the tooth to its normal shape and, hopefully, normal function. Today, several dental filling materials are available. Silver amalgam (which consists of mercury mixed with silver, tin, zinc, and copper); These are tooth filling manufactured from a variety of plastics and just alike ceramic fillings are made to fit with the color of your teeth. See full list on webmd.com Treating a cavity depends on the extent of the damage as already stated. To treat a cavity your dentist will remove the decayed portion of the tooth and then \\fill\\ the area on the tooth where the decayed material was removed. Generally, after the filling is in, your dentist will finish and polish it. See full list on webmd.com Next, a drill, air abrasion instrument, or laser will be used to remove the decayed area.
What is the price of filling a tooth? how does a filling work. These cavities filling are great for children and people that do a lot of chewing.